Crop Preetesh
Lead Dentist

Dr Preetesh Parsotam

Preetesh a former pupil of Auckland Grammar School, graduated from the University of Otago in 2008 with a Bachelor of Science and a Bachelor of Dental Surgery. He worked as a dental house surgeon at Hutt Valley Hospital gaining valuable experience in surgery and treating patients with complicated medical histories before moving to private practice in the Wellington area. Determined to do a partial OE, Preetesh moved to Melbourne completing three years in private practice with a focus on aesthetic and implant dentistry.

"By attending conferences and seminars I can keep abreast of the changing techniques and technology in dentistry. I don’t want to be left behind!"

When Preetesh is not working/doing dentistry you can find him playing hockey or out fishing. An avid hockey player, he has represented numerous teams both locally and provincially. Though he tells us his fishing leaves much to be desired.

Request an Appointment

Write a bit about the nature of your visit
New or existing patient?

Case studies

hide results

Cbpre Cbpost
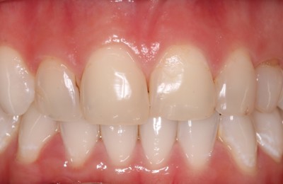
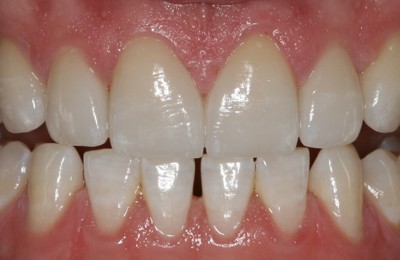
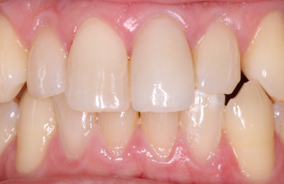
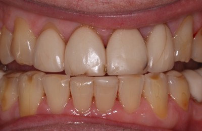
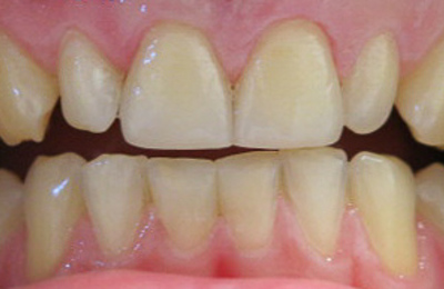
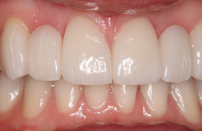
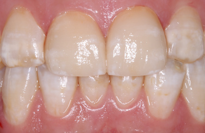
Crowns

Two Emax Ceramic Crowns

Mepre Mepost
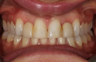
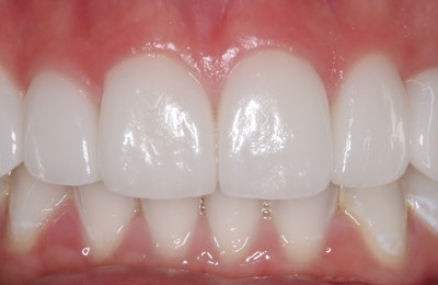
Veneers

Two Upper Ceramic Veneers and Lower Composite Resin Fillings

Mmpre Mmpost
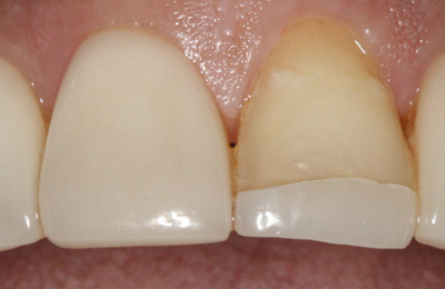
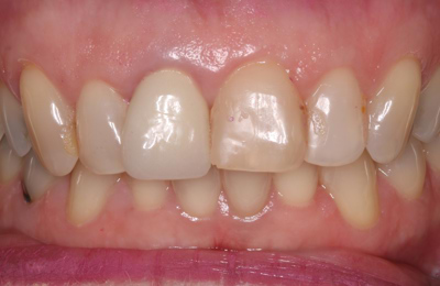
Crown

Single Ceramic Crown Replacement

Pre2 Post2
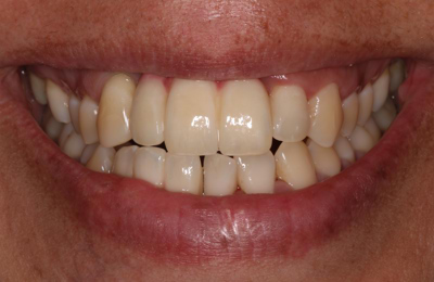
Veneers, Teeth Whitening

Four Ceramic Veneers and Teeth Whitening

Smpre Smpost
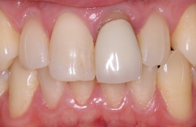
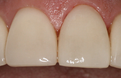
Single Veneer

Single Ceramic Veneer Replacement

Tbefore Tafter
Veneers

Six Ceramic Veneers

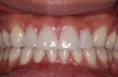
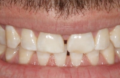
Abefore Aafter
Crowns & Bridges

Two Ceramic Cantilever Bridges and Two Ceramic Crowns

Sbefore Safter
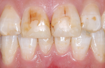
Crowns

Six Ceramic Crowns replacing Old Resin Crowns

Sbefore1 Safter2
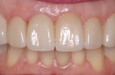
Veneers

6 Ceramic Veneers

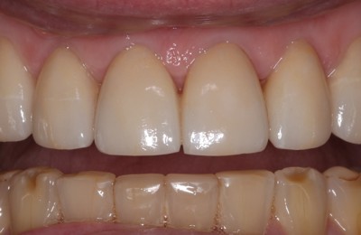
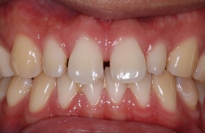
Before After

Six Ceramic Crowns and Veneers

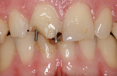
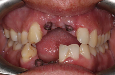
Ipbefore Ipafter

Screw retained implant bridges