Get straighter teeth and the smile you've always wanted with Invisalign® clear aligners at Lumino The Terrace.

Invisalign is designed to help you achieve your best smile and make you feel more confident. If you’re after a healthy, straight smile then Invisalign could be an ideal option for you. 

Invisalign has helped transform millions of smiles worldwide. It’s the almost invisible braces alternative that will help you achieve a proper bite and a healthy smile and now with free consults and interest free finance there’s never been a better time to try Invisalign. 

Book your free consultation with us today!

What is Invisalign?


Invisalign works to straighten your teeth by using a series of clear, comfortable and removable aligners which move your teeth gradually into the desired position. Each aligner is custom-made to suit your specific needs.

Having straight teeth is important to keep your mouth clean and healthy while preventing future problems.

Invisalign uses advanced 3D software, to allow you to see the end results of treatment before you even start. It won’t interfere with your lifestyle.

Invisalign has even been proven to be as effective as traditional braces for treating a wide variety of orthodontic issues.

Orthodontists and dentists complete highly specialised training to become qualified Invisalign providers.

With modern technology and clear treatment timelines, it's easy to see why Invisalign has become a popular option for patients wanting to straighten their smile.

Is Invisalign Right For Me?


Invisalign helps people who have:

  • Teeth overcrowding in their mouth
  • Gaps between their teeth
  • An overbite
  • An underbite or crossbite

Invisalign is ideal for people looking for a discreet, comfortable alternative to braces. Its virtually invisible, clear aligner system has helped straighten millions of smiles worldwide. 

There is no official minimum Invisalign age limit however we suggest parents and patients need to understand that when the child is ready to have the treatment, they must know that after getting the aligners, they will have to wear the aligners for 22 hours per day for treatment to be as effective as possible in the shortest period of time.

To see if Invisalign is right for you fill in the form below for your free consultation

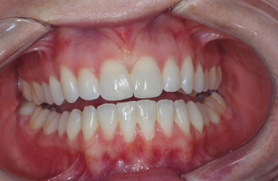
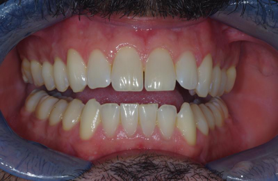
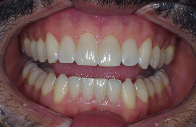
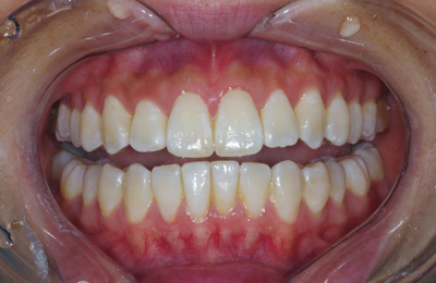
See the results

Look at these amazing results!

hide results

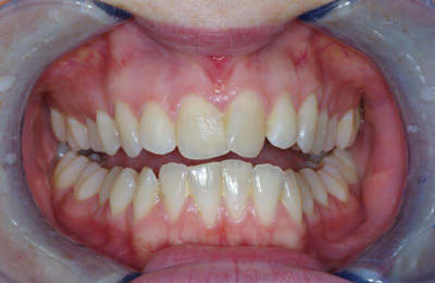
E Lawrence Before E Lawrence After

Virtually Invisible

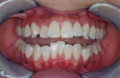
E Moon Before E Moon After

More Comfortable Than Braces

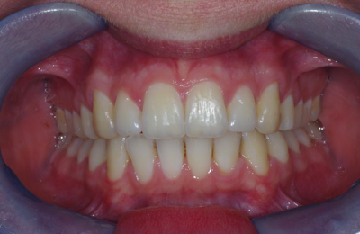
J Claverie Before J Claverie After

Love Your Smile

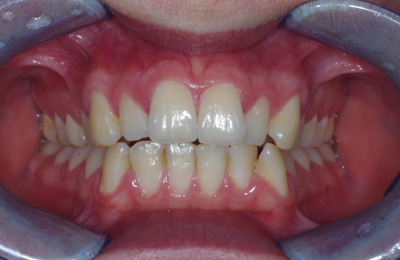
R Dent Before R Dent After

Why choose us?

At Lumino The Terrace our Gold Invisalign Provider Dr Andrew Middlemiss, has you covered with Invisalign Fundamentals.

At your free, 45-minute consultation your Invisalign dentist will take scans of your teeth and have a detailed discussion to completely understand your needs and your goals for treatment. Your dentist can also answer any questions or concerns you may have about Invisalign. Please note we only offer Invisalign packages to patients 18 years and older.

As part of New Zealand’s largest dental network, our Invisalign dentists across the country have been transforming smiles for 20 years! We offer Invisalign packages at an affordable price and have payment options to help you get sorted.

Benefits of Invisalign

There are plenty of benefits of Invisalign treatment. Often people prefer to use Invisalign over braces due to the many advantages that Invisalign can provide.

  • Invisalign is nearly invisible compared to traditional braces where the wires and metal brackets can be seen.
  • Invisalign treatment allows you to visualise every stage of the treatment, giving you a clearer picture of the treatment duration.
  • Invisalign aligners are made with SmartTrack® flexible material, making it super easy to put on and remove, unlike braces which are fixed.
  • Unlike braces where you have to visit your orthodontist every 3 to 4 weeks, with Invisalign visits are usually only required every 8 to 10 weeks.
  • Since Invisalign aligners are removable, you can still floss and brush your teeth as per normal - whereas braces may make it difficult for you to clean in between metal brackets, which can result in plaque accumulation and poor oral hygiene.

Enquire now

Please note, this form is for Invisalign or orthodontics only, we will not respond to other enquiries. If you would like to get in touch with us regarding other dental treatment, please fill out the form here.

 

Have Questions?

Is an Invisalign procedure painful?

You may experience some discomfort or pressure for a few days with each change of aligners. This is completely normal and is a sign that Invisalign is doing its job – moving your teeth to their new, straighter position. Any pain or discomfort you experience with Invisalign is noticeably less than the pain metal braces can cause.

*Invisalign® Free Consultation offer is valid for a limited time only. Available at Lumino The Terrace for patients 18 years and older. Times and appointments may be limited. Free consultation appointment duration and process may vary.