Exclusively at Lumino Auckland Central Practice

 

Do you have missing teeth? TeethXpress gives you a second chance to restore your smile!

Wondering what's special about TeethXpress implant treatment? It's an advanced dental technique, where a whole arch of your teeth is supported by four implants in your jaw. And the best part is you get to walk out on the same day as your surgery with an incredible transformation.

TeethXpress treatment is often used for full arch rehabilitation for people who have either lost all their teeth or are about to lose them. It is a suitable treatment for almost all lower teeth and upper teeth cases.

What is TeethXpress?

Why TeethXpress?

TeethXpress vs Traditional Dental Implants

With TeethXpress you can get the same great benefits of dental implants – for less! The surgical process is less involved and requires less visits to your dentist. You can feel at ease knowing you will save time and money but still get to experience all the benefits of having fixed replacement teeth.

If you’re feeling nervous about having implant surgery, TeethXpress offers an alternative that eliminates the need for more involved procedures like bone grafting. We use advanced techniques that make it possible to restore a full arch with as little as 4 dental implants. In some cases, you may however need 6-8 implants. Specially designed implants are placed at specific angles to provide a solid anchor for your customised prosthetic dental bridge.

TeethXpress has a significant advantage over traditional implant surgery. With reduced costs, complete patient involvement and a reduced number of dental visits you can rest assured that you’re making the best decision for your smile.

 

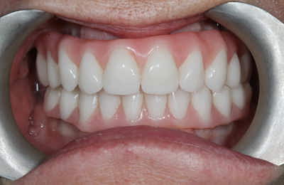
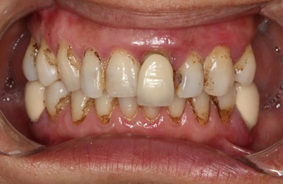
See the results

Look at these amazing results!

hide results

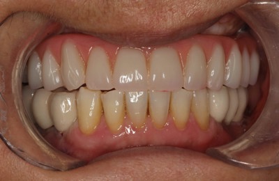
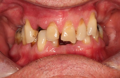
43710496968IMG 9032 44154467269IMG 9990
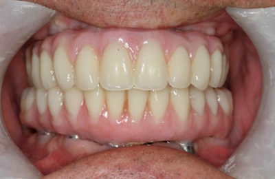
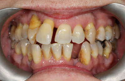
Teethxpress Before After 2A Teethxpress Before After 2B
Teethxpress Before After 3A Teethxpress Before After 3B

About your appointment

Appointments

  • You will need a few appointments with your Implant Dentist
  • At the first consultation visit the dentist will talk to you about the procedure and determine if you are eligible for the TeethXpress method
  • At your next appointment your dentist will get you prepared for the procedure and answer and questions you might have
  • If you are eligible your next appointment will usually be for the implant placement
  • Further appointments will be needed to check the progress of healing and make sure you're following correct care

How long it takes

  • With the TeethXpress procedure, we can often remove all your remaining teeth, insert 4, 5, or 6 implants AND fix your new denture on to these implants on the same day!

You may be asked about

  • Your dental history and medical history
  • If you are experiencing any pain or problems

Before your appointment

  • No special preparation needed

After your appointment

  • After the TeethXpress procedure, the use of a medicated mouth wash is often recommended for two weeks
  • Avoid drinking hot liquids and eating hard foods for the first few hours after the procedure
  • If you’re experiencing tooth pain, discomfort or sensitivity you can take pain relief medication or try using anaesthetic gel or sensitive toothpaste

Quick tip

Keeping up with recommended oral hygiene will help keep your mouth healthy and maintain your dental implants for a lifetime.

Next Steps...

Ready to restore your smile? Come in for a free consultation with Dr. Adrian Tan and find out how TeethXpress dental implants can benefit you. Our team will be in contact to discuss your treatment options as well as answer any questions you might have.

Enquire Now

Have questions?

Most adults can get dental implants. Our TeethXpress implant procedure is performed on adults who have lost some or all their teeth.

At Auckland Central our Implant dentists use TeethXpress which is a procedure that uses four dental implants to anchor down a full set of new teeth. These are usually provided on the same day of dental implant surgery and are used to transform or restore your smile.

TeethXpress securely holds the denture in place while smiling, talking and eating. TeethXpress are like natural teeth and stimulate the jaw while preventing bone loss. BioHorizons dental implants used exclusively for TeethXpress have a 99.2% success rate.

The Teeth-Xpress procedure isn't completely painless however your pain  will be well controlled by your dentist. You will likely be sedated during the procedure or given local anaesthetic. At the consultation your dentist or specialist will talk you through the procedure and any concerns you might have. You may experience minor discomfort for a few days following the procedure. A soft diet may be required while healing.

The length of time that your TeethXpress dental implants will last depends on how well you look after your oral health. With good care they can last over 20 years. The metal framework part of your implant has a lifetime guarantee as it is unlikely to break or be damaged. 

Dentures and TeethXpress implants provide different benefits for patients. TeethXpress implants help solve many of the common complaints of having dentures as they fit firmly and they don't impact your speech or ability to eat. Patients will usually leave with a restored smile on the same day of surgery.

All surgical procedures have associated risks. You could develop an infection post-surgery which might delay healing. Another risk associated with this procedure is nerve damage. Your dentist or clinical technician will advise you of the degree of risk for you. In very rare instances, your body can reject the implant.

To take the best care of your TeethXpress implants you should keep up a good oral health routine. You should also visit your dentist every six to 12 months for a check-up and a clean, just as you would with natural teeth. Your dentist will check the condition of your implants and fitting of the denture.

We will advise you about your unique treatment plan and explain the costs to you. Cost can vary from patient to patient. Usually one arch is $24,000 and both arches is $48,000. You can then look at our range of affordable payment options and choose the one that's right for you. To help make that decision as stress-free as possible, we offer various pay later options that help to spread the cost over time.